Livre Blanc Acouphènes
EQUISYL - VERTIGES ET EQUILIBRE OREILLE INTERNE
THALAMYL - ACOUPHENES & VERTIGES | BIORL
La rhinite allergique touche une part importante de la population et sa fréquence augmente, en lien avec l’environnement moderne et la pollution. Elle se manifeste par un nez bouché ou qui coule, des éternuements en salves et parfois une fatigue persistante.
Derrière ces symptômes se cache une réaction excessive du système immunitaire à des allergènes comme les pollens, les acariens ou les poils d’animaux.
Un accompagnement global est particulièrement pertinent : identification de l’allergène, hygiène de vie, phytothérapie ciblée et soutien de la muqueuse respiratoire.
La rhinite allergique est une inflammation de la muqueuse nasale provoquée par une réaction immunitaire à des particules présentes dans l’air. Lors du contact avec l’allergène, l’organisme produit des anticorps IgE, qui entraînent la libération de médiateurs comme l’histamine responsables d’écoulement, éternuements et congestion.
On distingue souvent les formes saisonnières (pollens, « rhume des foins ») et les formes perannuelles (acariens, poils d’animaux, moisissures).

Les fosses nasales filtrent, humidifient et réchauffent l’air inspiré, constituant une barrière de première ligne contre les particules en suspension. La muqueuse nasale est recouverte d’un épithélium respiratoire avec cellules ciliées, cellules à mucus et riche réseau vasculaire, qui assure la clairance mucociliaire et participe à la défense locale.
Lorsque cette muqueuse est enflammée de façon chronique, la congestion se maintient, la respiration devient difficile et la sensibilité aux irritants augmente.
Le diagnostic repose sur :
- un interrogatoire précis (saison, lieu, environnement, exposition professionnelle ou domestique) ;
- un examen clinique du nez et des voies respiratoires ;
- des tests allergologiques, principalement tests cutanés (Skin Prick Test) et dosages d’IgE spécifiques, permettant d’identifier les allergènes en cause.
Il est important d’éliminer d’autres causes de rhinite (infectieuse, vasomotrice, médicamenteuse) avant de conclure à une rhinite allergique.

Vue endoscopique de la fosse nasale gauche montrant une muqueuse
nasale normale

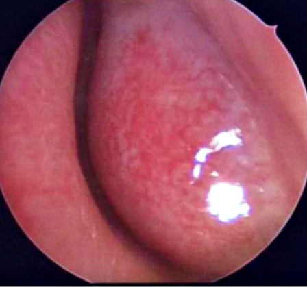
Vue endoscopique de la fosse nasale gauche montrant une muqueuse
nasale inflammatoire
Les traitements classiques reposent généralement sur :
- les antihistaminiques pour bloquer les effets de l’histamine ;
- les corticoïdes nasaux pour réduire l’inflammation locale ;
- l’immunothérapie spécifique (désensibilisation) en cas d’allergie documentée, sous forme sublinguale ou injectable, pour rééduquer progressivement la réponse immunitaire.
La phytothérapie peut se combiner à ces approches, sous suivi professionnel, pour renforcer le terrain et améliorer la tolérance respiratoire.
Les lavages nasaux au sérum physiologique ou à base d’eaux thermales sont une mesure de base pour éliminer les allergènes et apaiser la muqueuse. Ils aident à réduire la charge allergénique, améliorent le confort et peuvent limiter le recours à certains médicaments lorsqu’ils sont intégrés régulièrement.
Les gels à base d'acide hyaluronique (XEROSYL-H) permettent de maintenir la muqueuse nasale humidifiée.
Ce geste est particulièrement utile en période de pollinisation ou d’exposition accrue à la pollution.
Un ensemble de mesures simples contribue à diminuer l’exposition aux allergènes :
-aérer plutôt tôt le matin ou tard le soir pendant les pics de pollens ;
- éviter de faire sécher le linge dehors en pleine saison pollinique ;
- passer régulièrement l’aspirateur avec filtre HEPA et laver la literie à 60 °C pour réduire les acariens ;
- limiter les irritants inhalés (fumée, encens, parfums d’intérieur).
Ces mesures environnementales complètent l’action des plantes et des traitements médicaux.

Le stress peut majorer la réactivité immunitaire et aggraver les symptômes allergiques. Des techniques comme la cohérence cardiaque, la respiration nasale contrôlée ou des approches de relaxation (sophrologie, méditation) sont souvent recommandées pour soutenir le terrain et améliorer le confort respiratoire.
Rappel : Une rhinite allergique mal soignée peut évoluer vers une sinusite chronique ou favoriser l’asthme. Écouter son nez, c’est veiller sur sa santé globale.
En résumé
En protégeant votre nez, vous protégez vos poumons, votre sommeil et votre bien-être. La nature offre de réelles solutions pour réduire l’inflammation et restaurer la respiration — à condition de combiner prévention, régularité et écoute du corps.
Please sign in first.
Se connecter